Lompat ke konten Lompat ke sidebar Lompat ke footer

What Is Left Main Disease

Myocardial Revascularization For Left Main Coronary Artery Disease A Step Toward Individualized Treatment Selection Journal Of The American College Of Cardiology

Myocardial Revascularization For Left Main Coronary Artery Disease A Step Toward Individualized Treatment Selection Journal Of The American College Of Cardiology

What is left main disease. The optimal management of unprotected left main coronary artery ULMCA disease is currently a debated topic. Unprotected left main disease also called ULMD refers to patients without bypass to the left coronary circulation 2. The advent of coronary angiography in the 1960s allowed for the risk stratification of patients with stable angina.

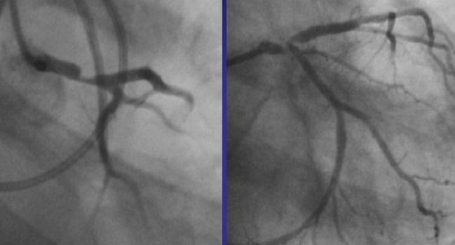
The patients with severe LMS stenosis have a very high risk of major cardiovascular events because of the extent of ischaemic myocardium. It provides oxygenated blood to most of the left ventricle which is the main pumping chamber of the heart. Tapering of the distal left main is also evident in this view.

Ostial involvement of LAD is better appreciated in the previous image. Significant left main stem LMS stenosis is amongst the most feared findings during work-up of suspected coronary artery disease. Left main coronary artery disease.

Left main coronary disease is seen in 4-6 of patients undergoing coronary angiography for an ischemic evaluation and is a potentially fatal condition if not promptly identified and treated. Left main coronary artery LMCA stenosis is a relatively infrequent but important cause of symptomatic coronary artery disease. Any amount of blockage in the LMCA such as from plaque buildup or a.

A severe narrowing of the left main coronary artery LMCA jeopardizes a large area of myocardium and increases the risk of major adverse cardiac events. In general there are three options for the treatment of LMCA disease which include optimal medical therapy percutaneous revascularization or surgical revascularization either off-pump or on-pump. Left circumflex coronary artery.

At the level of the junction between the atria and the ventricles the left coronary splits into the circumflex artery which runs to the left. The following are key points to remember from this review article on the management of left main disease. The left main coronary artery LMCA is the very first portion of the left coronary artery.

Left main coronary artery disease LMCAD portends higher prognostic risk as a result of the large myocardial territory at risk ranging from 75 to 100 depending on the dominance of the left coronary circulation. LMCA distal and tight LAD disease RAO caudal view.

Left Main Coronary Artery Disease Pathophysiology Diagnosis And Treatment Nature Reviews Cardiology

Left Main Coronary Artery Disease Pathophysiology Diagnosis And Treatment Nature Reviews Cardiology

Figure 3 From Management Of Left Main Disease An Update Semantic Scholar

Figure 3 From Management Of Left Main Disease An Update Semantic Scholar

Unprotected Left Main Pci Us Interventionalists Aren T Biting Yet Tctmd Com

Unprotected Left Main Pci Us Interventionalists Aren T Biting Yet Tctmd Com

Treatment Strategies In The Left Main Coronary Artery Disease Associated With Acute Coronary Syndromes Sciencedirect

Treatment Strategies In The Left Main Coronary Artery Disease Associated With Acute Coronary Syndromes Sciencedirect

Treatment Of Left Main Disease Resus Review

Treatment Of Left Main Disease Resus Review

St Elevation In Avr Litfl Ecg Library Diagnosis

St Elevation In Avr Litfl Ecg Library Diagnosis

Is Ffr Of The Left Main Coronary Artery Stenosis Reliable Cardiac Interventions Today

Is Ffr Of The Left Main Coronary Artery Stenosis Reliable Cardiac Interventions Today

Unprotected Left Main Coronary Artery Disease Management In The Post Noble And Excel Era Icr Journal

Unprotected Left Main Coronary Artery Disease Management In The Post Noble And Excel Era Icr Journal

Left Main Coronary Artery Disease

Left Main Coronary Artery Disease

Intravascular Ultrasound Guidance In The Evaluation And Treatment Of Left Main Coronary Artery Disease Sciencedirect

Intravascular Ultrasound Guidance In The Evaluation And Treatment Of Left Main Coronary Artery Disease Sciencedirect

Left Main Coronary Artery Wikidoc

Left Main Coronary Artery Wikidoc

Revascularization Of Left Main Disease Do We Excel At Stenting Or Is It More Noble To Treat With Surgery American College Of Cardiology

Revascularization Of Left Main Disease Do We Excel At Stenting Or Is It More Noble To Treat With Surgery American College Of Cardiology

Dense Coronary Artery Calcification In The Left Main Coronary Artery Download Scientific Diagram

Dense Coronary Artery Calcification In The Left Main Coronary Artery Download Scientific Diagram

Left Main Coronary Artery Disease Pathophysiology Diagnosis And Treatment Semantic Scholar

Left Main Coronary Artery Disease Pathophysiology Diagnosis And Treatment Semantic Scholar

Treatment Of Left Main Disease Resus Review

Treatment Of Left Main Disease Resus Review

Isolated And Severe Left Main Coronary Stenosis In The Young A Rare Angiographic Entity Bmj Case Reports

Isolated And Severe Left Main Coronary Stenosis In The Young A Rare Angiographic Entity Bmj Case Reports

Left Main Coronary Artery Stenosis

Left Main Coronary Artery Stenosis

Emdocs Net Emergency Medicine Educationsubtle Ecg Findings In Acs Part I Left Main Coronary Artery Disease Emdocs Net Emergency Medicine Education

Emdocs Net Emergency Medicine Educationsubtle Ecg Findings In Acs Part I Left Main Coronary Artery Disease Emdocs Net Emergency Medicine Education

Left Main Coronary Artery Disease Pathophysiology Diagnosis And Treatment Nature Reviews Cardiology

Left Main Coronary Artery Disease Pathophysiology Diagnosis And Treatment Nature Reviews Cardiology

Percutaneous Coronary Angioplasty Versus Coronary Artery Bypass Grafting In Treatment Of Unprotected Left Main Stenosis Noble A Prospective Randomised Open Label Non Inferiority Trial The Lancet

Percutaneous Coronary Angioplasty Versus Coronary Artery Bypass Grafting In Treatment Of Unprotected Left Main Stenosis Noble A Prospective Randomised Open Label Non Inferiority Trial The Lancet

Patient Selection Lmcad Left Main Coronary Artery Disease Pci Download Scientific Diagram

Patient Selection Lmcad Left Main Coronary Artery Disease Pci Download Scientific Diagram

Left Main Revascularization With Pci Or Cabg In Patients With Chronic Kidney Disease Excel Trial Journal Of The American College Of Cardiology

Left Main Revascularization With Pci Or Cabg In Patients With Chronic Kidney Disease Excel Trial Journal Of The American College Of Cardiology

Left Main Coronary Artery Disease Livro De Saude Casas Bahia 15969900

Left Main Coronary Artery Disease Livro De Saude Casas Bahia 15969900

1

1

Cabg And Pci In Patients With Unprotected Left Main Coronary Artery Disease Tctmd Com

Cabg And Pci In Patients With Unprotected Left Main Coronary Artery Disease Tctmd Com

Use Of Intravascular Ultrasound Imaging In Percutaneous Coronary Intervention On Left Main Coronary Artery Disease Radcliffe

Use Of Intravascular Ultrasound Imaging In Percutaneous Coronary Intervention On Left Main Coronary Artery Disease Radcliffe

Left Main Coronary Artery Disease

Left Main Coronary Artery Disease

Modality Selection For The Revascularization Of Left Main Disease Canadian Journal Of Cardiology

Modality Selection For The Revascularization Of Left Main Disease Canadian Journal Of Cardiology

Percutaneous Coronary Intervention Of Left Main Disease Circulation Cardiovascular Interventions

Percutaneous Coronary Intervention Of Left Main Disease Circulation Cardiovascular Interventions

Left Main Coronary Artery Disease

Left Main Coronary Artery Disease

Percutaneous Coronary Intervention Versus Coronary Artery Bypass Graft For Left Main Coronary Artery Disease A Meta Analysis The Journal Of Thoracic And Cardiovascular Surgery

Percutaneous Coronary Intervention Versus Coronary Artery Bypass Graft For Left Main Coronary Artery Disease A Meta Analysis The Journal Of Thoracic And Cardiovascular Surgery

Full Text Catheter Induced Left Main Coronary Artery Stenosis A Rare Complication Of Percutaneous Coronary Intervention International Journal Of Case Reports And Images Ijcri

Full Text Catheter Induced Left Main Coronary Artery Stenosis A Rare Complication Of Percutaneous Coronary Intervention International Journal Of Case Reports And Images Ijcri

Unprotected Left Main Coronary Artery Disease Management In The Post Noble And Excel Era Icr Journal

Unprotected Left Main Coronary Artery Disease Management In The Post Noble And Excel Era Icr Journal

Left Main Coronary Artery Disease

Left Main Coronary Artery Disease

Complex Left Main Coronary Stent Restenosis Treated Through Radial Approach Using A Sheathless Catheter Revista Portuguesa De Cardiologia English Edition

Complex Left Main Coronary Stent Restenosis Treated Through Radial Approach Using A Sheathless Catheter Revista Portuguesa De Cardiologia English Edition

Left Main Coronary Artery Disease Current Treatment Options Intechopen

Left Main Coronary Artery Disease Current Treatment Options Intechopen

Left Main Coronary Artery Disease Pathophysiology Diagnosis And Treatment Nature Reviews Cardiology

Left Main Coronary Artery Disease Pathophysiology Diagnosis And Treatment Nature Reviews Cardiology

Figure 2 From Unprotected Left Main Percutaneous Coronary Intervention Integrated Use Of Fractional Flow Reserve And Intravascular Ultrasound Semantic Scholar

Figure 2 From Unprotected Left Main Percutaneous Coronary Intervention Integrated Use Of Fractional Flow Reserve And Intravascular Ultrasound Semantic Scholar

The Use Of Intravascular Ultrasound In Ostial Left Main Disease Download Scientific Diagram

The Use Of Intravascular Ultrasound In Ostial Left Main Disease Download Scientific Diagram

Pci Comparable To Cabg In Left Main Coronary Disease Meta Analysis Tctmd Com

Pci Comparable To Cabg In Left Main Coronary Disease Meta Analysis Tctmd Com

St Elevation In Avr Litfl Ecg Library Diagnosis

St Elevation In Avr Litfl Ecg Library Diagnosis

Ecg In Left Main Coronary Artery Stenosis

Ecg In Left Main Coronary Artery Stenosis

Luis Ortega Paz On Twitter Aspects To Be Considered By The Heart Team For Decision Making Between Pci And Cabg Among Patients With Stable Multivessel And Or Left Main Coronary Artery Disease Esccongress Escguidelines

Luis Ortega Paz On Twitter Aspects To Be Considered By The Heart Team For Decision Making Between Pci And Cabg Among Patients With Stable Multivessel And Or Left Main Coronary Artery Disease Esccongress Escguidelines

Comparison Of Percutaneous Coronary Intervention Pci And Coronary Download Scientific Diagram

Comparison Of Percutaneous Coronary Intervention Pci And Coronary Download Scientific Diagram

Left Main Coronary Artery Diverticulae A Rare Case Bmj Case Reports

Left Main Coronary Artery Diverticulae A Rare Case Bmj Case Reports

St Elevation In Avr Litfl Ecg Library Diagnosis

St Elevation In Avr Litfl Ecg Library Diagnosis

Is Ffr Of The Left Main Coronary Artery Stenosis Reliable Cardiac Interventions Today

Is Ffr Of The Left Main Coronary Artery Stenosis Reliable Cardiac Interventions Today

Percutaneous Coronary Intervention Versus Coronary Artery Bypass Grafting In Patients With Three Vessel Or Left Main Coronary Artery Disease 10 Year Follow Up Of The Multicentre Randomised Controlled Syntax Trial The Lancet

Percutaneous Coronary Intervention Versus Coronary Artery Bypass Grafting In Patients With Three Vessel Or Left Main Coronary Artery Disease 10 Year Follow Up Of The Multicentre Randomised Controlled Syntax Trial The Lancet

1

1

At the level of the junction between the atria and the ventricles the left coronary splits into the circumflex artery which runs to the left.

Significant left main stem LMS stenosis is amongst the most feared findings during work-up of suspected coronary artery disease. Recent studies have increased our understanding of the complexity of left main coronary artery disease. Diagnosis and management of significant LMCAD continues to be a source of clinical apprehension and uncertainty. The left main stem subtends a large amount of myocardium and may be associated with ventricular dysfunction arrhythmia or hemodynamic compromise making it a potentially lethal condition. Left main coronary artery LMCA stenosis is a relatively infrequent but important cause of symptomatic coronary artery disease. It provides oxygenated blood to most of the left ventricle which is the main pumping chamber of the heart. It originates from the left aortic sinus a dilation in the aorta just behind one of the leaflets of the aortic valve. Left main diseases usually have extensive coronary artery disease CAD and the coexisting disease is often complex. Left main coronary artery disease.


Due its critical location the LMS supplies blood to two thirds of the left ventricle acute occlusion is rapidly fatal and medically managed LMS disease carries a poor prognosis with a one year mortality of approximately 201. The optimal management of unprotected left main coronary artery ULMCA disease is currently a debated topic. The following are key points to remember from this review article on the management of left main disease. Significant left main coronary artery disease is defined as a greater than 50 angiographic narrowing of the vessel. Percutaneous coronary intervention PCI has seen an increased adoption for the management of ULMCA disease after numerous small-scale randomised trials and cohort studies showed equipoise with coronary artery bypass grafting CABG for low complexity lesions. One of the two main epicardial arteries that feed the heart muscle. 1 Multiple studies have found LMCA stenosis to be an independent indicator of increased morbidity and mortality rates among patients with coronary artery disease.

Posting Komentar untuk "What Is Left Main Disease"